What is a fracture?
A bone fracture is the interruption of the continuity of the bone. It may be a crack in the bone, but also being completely broken in pieces of the bone.
Causes
The causes of fractures can be divided into two major categories. On the one hand the fractures as a result of large external forces, for example due to an accident, which will be exerted on the bone, and to which the bone is not resistant. This is an acute fracture. In addition, fractures that exist are chronic in nature and are caused by repeated load of the affected bone. These stress fracture are common in athletes. Alternatively, a pathology of the bone may be present (eg, osteoporosis or bone metastasis), so the bone is so brittle that it breaks under the influence of normal forces such as walking or standing upright (pathological fracture). A crack is technically considered a break.
Layouts
Fault lines
Depending on the type of force that was the cause of a fracture, it is seen that the fracture line is different.
- Flexi force on the transverse length of the bone
→ skewed fraction
- Rotational Force on the bone (eg skiing where it hangs lower leg but the body still has a rotary motion)
- Compression Strength (compression)
→ impaction (indentation of bone where this is a direct blow)
- Pull on ligament
Open versus closed
An open fracture is a fracture in which the bone is no longer completely surrounded by the surrounding soft tissues (like muscle, fat and skin), but in which the bone is directly exposed to the outside world and therefore has a chance of infection.
A closed fracture is a fracture of the bone, skin and surrounding tissue has remained uninterrupted. The soft tissue may have incurred damage, but the bone is not directly in connection with the outside world.
This has the result that an open fracture can directly come into contact with germs that can cause an infection. An additional problem is that the bone tissue, but little is irrigated, and thus has poor resistance to infection. It can not count on the humoral defense from the blood. An open fracture is therefore a high risk of infection and should therefore always be preventively treated with antibiotics. One last additional problem with open fractures, the bone healing slower because there is no hematoma may form. This hinders the natural healing, healing through callus formation. Callus formation is the natural way in which a fracture in a bone grows close again.
In both types of fractures blood loss can occur if, for example, the fractured bone damages a blood vessel. In the case of an open fracture will flow the blood from the body through the wound; in a closed fracture the blood will build up in the body part around the fractured bone. In particular, in the development of arterial bleeding and at the fracture of large bones (humerus, sternum, fractured pelvis, femur fracture), the life-threatening situation may occur shock.
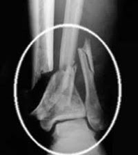
Complexity of the fracture
A fracture may be single, in other words, there is only one break in the bone segment.
In the multiple faults under distinguish:
- bifocal fracture; these are two breaks in the same bone.
- the multifocal fractures; at least three fractions in the same bone.
- the comminuted fracture; shattering the bone with very many fragments.
Further, a fracture may also associated lesions (eg, vascular or nerve injuries) show which will determine the functional prognosis. These are the prospects for the function of the damaged body part.
Cure
The active healing can be done in two ways:
- Healing per primam, with an orthopedic or surgical procedure, wherein the pieces of bone to be put together by means of plates and screws.
- Healing by secondary, bone heal naturally, but take care of the injured part extra.
